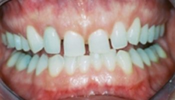
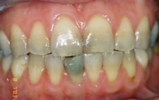
Before and After

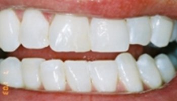
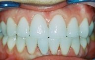
Before and After

Our dentists have decades of collective experience in all aspects of dentistry

Request an Appointment

    This website uses cookies and asks your personal data to enhance your browsing experience. We are committed to protecting your privacy and ensuring your data is handled in compliance with the General Data Protection Regulation (GDPR).